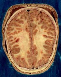
ويأمل علماء مدينة يوليش الألمانية في أن يستطيعوا من خلال هذا الجهاز رصد الأمراض التي تصيب المخ مثل الزهايمر والعته بشكل مبكر وذلك لاتخاذ الإجراءات الطبية اللازمة في الوقت المناسب.
وأعلن مركز أبحاث يوليش اليوم الثلاثاء أن الجهاز يقدم أيضا صورة للهيكل النسيجي للمخ وللعمليات الكيميائية الحيوية به حيث أن القصور المرضي يؤثر بشكل واضح على هذا الهيكل والعمليات الكيميائية الحيوية مما يتيح للعلماء رصد هذا القصور من خلال معرفة التغيرات التي طرأت عليهما.
غير أن المركز أكد في الوقت نفسه أن تحسن فرص التشخيص من خلال هذا الجهاز الجديد لا يعني بداهة تحسن الفرص العلاجية وأن الأمر ربما استغرق سنوات حتى يطور الباحثون طرقا علاجية جديدة اعتمادا على هذه التقنية المتطورة التي يقدمها الجهاز. ومن المقرر أن يبدأ الجهاز في العمل رسميا غدا الأربعاء.
وأعلن مركز أبحاث يوليش اليوم الثلاثاء أن الجهاز يقدم أيضا صورة للهيكل النسيجي للمخ وللعمليات الكيميائية الحيوية به حيث أن القصور المرضي يؤثر بشكل واضح على هذا الهيكل والعمليات الكيميائية الحيوية مما يتيح للعلماء رصد هذا القصور من خلال معرفة التغيرات التي طرأت عليهما.
غير أن المركز أكد في الوقت نفسه أن تحسن فرص التشخيص من خلال هذا الجهاز الجديد لا يعني بداهة تحسن الفرص العلاجية وأن الأمر ربما استغرق سنوات حتى يطور الباحثون طرقا علاجية جديدة اعتمادا على هذه التقنية المتطورة التي يقدمها الجهاز. ومن المقرر أن يبدأ الجهاز في العمل رسميا غدا الأربعاء.


الصفحات
سياسة








